BENEFITS

Get competitive
From creating and archiving digital study models to production, working digitally reduces shipping costs and your turnaround time.

Digitize workflows
Design, edit, save, share, remake, and produce appliances with fast, cost effective digital workflows

Create appliances
Create clear aligners, indirect bonding trays, splints, mouth guards, retainers, Herbst, palatal expanders, mandible protrusion devices and more.

Grow your business
Offer more orthodontic treatment options and seamlessly cloud-connect with doctors to receive intraoral scans.
WHAT IS ORTHO SYSTEM PREMIUM?
Complete solution
Orthodontics is changing. Most practices are expected to buy a digital impression system within the next three years. If you want to change with a changing market, our orthodontic lab software helps you with a complete, open and intuitive set of digital tools and workflows. From cloud-sharing scans to digital diagnostics, treatment planning and production, our digital orthodontics solution enables you to maximize efficiency and profitability.

WHAT YOU WILL GET

Create digital study models
Create digital study models from conventional impressions, plaster models and intraoral scans. Save on storage space, retrieve cases easily, and be more environmentally-friendly.
Provide orthodontic analysis and treatment planning services
Merge CT/CBCT data, scans, x-ray panoramic, cephalometric tracings, and photos with digital study models for the analysis of arc shapes, overjet/overbite, Bolton ratios, occlusion and spaces. Take advantage of digital predictability for your treatment planning and seamless connectivity for treatment communications.


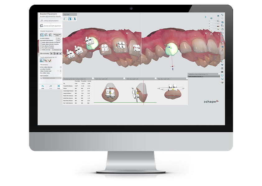
Design any type of orthodontic appliance
Create clear aligners, indirect bonding trays, splints, night guards, removable retainers, customized metal bands, lingual bars, palatal expanders, and devices for mandible protrusion such as twin blocks, Herbst appliances and more, all with Ortho System Premium.
Flexible and open manufacturing options
Ortho System Premium lets you create industry file formats so you can send designs to the CAM machine of your choice.

Product & Service

Clinics
Join the 3Shape Ready program to cloud-connect and promote your lab to doctors that use 3Shape TRIOS

3D printers
Choose from a vast range of open 3D printers.

Intraoral Scans
Use directly with TRIOS digital impressions or import STL from any 3rd party intraoral scan.

Design Services
Outsource setup and staging to design services for clear aligners.

Original Bracket Libraries
Access over 600 original manufacturer bracket libraries for increased accuracy.

Connect with clinics
The TRIOS Ready Ortho program cloud-connects orthodontists and labs. It means orthodontists using TRIOS can find a lab from the list on the 3Shape website and simply digitally connect with them. It also means that your lab can receive and work with TRIOS digital impressions, and that orthodontists can easily find you from the 3Shape list.
MORE DETAILS
LabCare subsription
3Shape’s LabCare subscription package provides high-value services such as unlimited upgrades, support and special product discounts. With subscription, you can also add a five-year warranty and replacement service to secure your investment
LabCare subsription
3Shape’s LabCare subscription package provides high-value services such as unlimited upgrades, support and special product discounts. With subscription, you can also add a five-year warranty and replacement service to secure your investment
New features
The new, updated 3Shape Clear Aligner Studio included in Ortho System Premium comes with setup and staging assistance and automated ID tagging, attachment placing and sizing.
Software packages
Ortho System Premium enables workflows for orthodontic analysis, treatment planning, appliance design and production. Ortho System Scan Only enables you to add an extra scan station to your lab.
GET TRAINING AND HELP

Free training videos
Our YouTube channel offers a wealth of digital orthodontic training videos

3shape Community
The 3Shape Community is your source for training, best practices and open discussions with colleagues from around the world.
